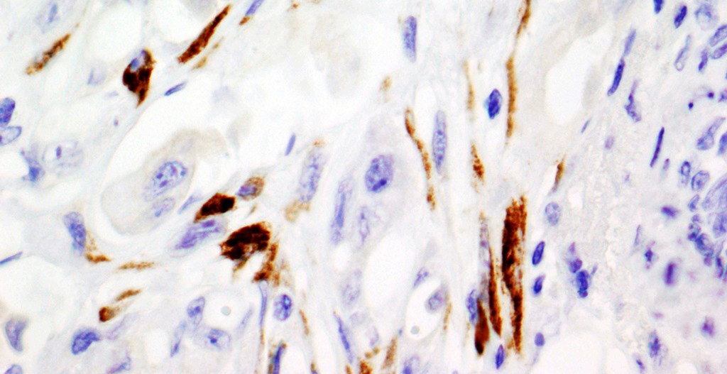
EducaciónSociedá Investigadores del HUCA abren la puerta a terapies contra cánceres invasivos by redacción asturnews 4 de febreru, 2016 written by redacción asturnews 4 de febreru, 2016 275 Investigadores de la Universidá d’Uviéu y del Hospital Universitariu Central d’Asturies (HUCA) desenvolvieron un anticuerpu monoclonal que facilita’l diagnósticu del cáncer y describe meyor l’agresividá del tumor, abriendo la puerta a terapies contra’l de colon, mama o pulmón. Los cánceres invasivos humanos de colon, mama, pulmón o páncreas destaquen por ser bien prevalentes y suelen tener mal pronósticu. Dalgunos d’estos tumores son amás bien resistentes a los tratamientos médicos convencionales basaos na quimioterapia y/o na radioterapia, lo qu’esplica l’alta tasa de mortalidá de quien los sufren. L’equipu multidisciplinar identificó un puntu débil nel escudu que protexe los carcinomes más agresivos y que favorez la so crecedera. El profesor Juan Ramón de los Toyos, inmunólogu del Departamentu de Bioloxía Funcional de la Universidá, indica que los cánceres invasivos, aquellos capaces d’afectar a los texíos sanos qu’arrodien el tumor orixinal, tienen una peculiaridá qu’esplica’l fracasu de bona parte de les terapies convencionales. Tienen una especie d’escudu protector que consiste nun texíu de soporte (estroma) reforzáu y arriquecíu con numberosos vasos sanguíneos creaos por el mesmu tumor. L’equipu multidisciplinar de la Universidá y del HUCA, que lleva años trabayando en collaboración con empreses biotecnológicas, detectó un puntu débil nesi escudu, al identificar un componente que s’hai evidenciado como un escelente biomarcador p’acutar el diagnósticu y pronósticu d’esti tipu de tumores y, poro, planiar los meyores tratamientos p’atayalos. Esti biomarcador –el procolágeno XIα1– ye especialmente interesante porque contribúi a la formación de el treme estracelular que da abellu y soporte a la crecedera del tumor. Juan Ramón de los Toyos destaca qu’una pieza fundamental na caracterización del papel biolóxicu d’esta molécula consistió na xeneración d’un anticuerpu monoclonal específicu, que ta siendo utilizáu yá pa estudiar les característiques del estroma nos cánceres de colon, pulmón, mama y entrellenzu, ente otros. Esi mesmu anticuerpu dexa amás estremar meyor los tumores malinos de patoloxíes benignes. Dende 2012, les observaciones llevaes a cabu por esti equipu multidisciplinar fueron oxetu de publicación en revistes de reconocíu impactu científicu como International Journal of Oncology, PLoS One, BMC Cancer, Histology and Histopathology, y Tumor Biology. cáncanucáncer de coloncáncer de mamacáncer de pulmónHUCAinvestigación contra'l cáncerUniversidá d'Uviéu 0 FacebookTwitterPinterestEmail Anterior La memoria Histórica va protagonizar el mes nel Centru Social La Semiente. siguiente Casi 3.000 escolares asisten esta selmana al teatru n’Uviéu Tamién te podria gustar Asturnews va tornar tres del branu con nuevu... Iniciativa pol Asturianu y Barbón desixen a Adif... Iniciativa reclama un mandatu marcu na RTPA Payares acueye les XLI Xornaes Internacionales d’Estudiu de... L’Atles llingüísticu del Navia-Eo ponse n’accesu llibre Aína entama’l cursu políticu con un actu n’Uviéu Ventanielles y Guillén Lafuerza van ser una “Fábrica... La Delegación asturiana en Lorient protagoniza la xornada... La UABRA aporta a la segunda selmana d’actividaes 4200 firmes sofiten la música n’asturianu en XIxón